e-LINE Orthodontics - Treatments - Orthodontics for Kids.jpg

Orthodontics for Kids

  • At a Glance

  • F.A.Q.

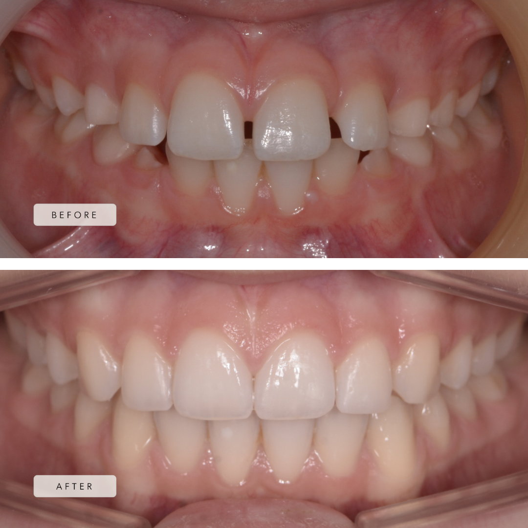
  • Before & After

At e-LINE, there are many treatment options available depending on the age of your child and the severity of his/her case. It is recommended that you bring your child for the first orthodontic assessment by the age of 8. Thereafter, you will be advised if early treatment is required.


Life-changing experience

In certain cases, it might be required to start treatment as early as possible. This is required to minimise the severity of the foreseeable dental problems, to alleviate an impending dental problem or to simplify a future definitive orthodontic treatment, when your child is older. We call this type of treatment Interceptive Treatment or Phase 1 Orthodontic Treatment.

At e-LINE, we like to simplify the treatments for children and to make them comfortable, safe and most importantly, give them a positive experience. If such a treatment is required, a tailored step-wise approach will be proposed. Early orthodontics can be carried out with removable appliances, whilst more complex conditions may require the use of fixed appliances for a few months.


At a Glance

Treatment Time

6 to 18 months

Discomfort

None to Mild

Review Appointments

every 4 to 12 weeks

Routine Adjustment Treatment Time

30 minutes

Retention

Until all permanent teeth have erupted

Price

from £2500


F.A.Q.

Is it painful?

Every person is unique. You can expect a level of discomfort which will be different for each child. We will always work around the personality of each patient and we will find a treatment option that suits them best.

What care is in place if my child has a problem?

We always offer appointments to see patients as soon as possible. Looking after your children is important for us and we are always on hand to give advice and help you resolve the problem quickly and efficiently.

Is it difficult to clean orthodontic appliances?

No, it is not difficult. Your child will have to adapt the his brushing technique and spend a little more time on it. When we fit our appliances, all our patients are given a “Starter Kit” which includes all the things you need for your correct oral hygiene during the treatment. Our team will then give you personalised instructions on how to use the kit and how to look after your personalised appliance.

How is braces or orthodontic treatment going to affect my child’s day to day routine?

The orthodontic treatment will not change your child’s day to day routine. Speech may be affected for a few days (depending on the type of appliance we need to use). You also need to consider that the orthodontic treatment may alter your child’s food choices (at least for a while) and you may consider carrying a small oral hygiene kit at all times.

Does my child need to see the dentist while undergoing orthodontic treatment?

Yes, it is important that you continue with your regular dental and hygienist visits as we are orthodontic specialists and we will not be carrying out your regular dental check up.

How can I pay for my child's treatment?

Once you have decided to start treatment, our Treatment Coordinator will be in touch with you and will talk you through the various financial packages we can offer you.


Cases

The Appliances

Scroll

Removal Appliances.png

Removal Appliances

Removable appliances are used to correct simple problems, especially for children who still have baby teeth in place. They are tailor-made in our own laboratory and they are adapted to your child’s specific needs. Children can choose their own colours and design, as we try to make their journey as fun and comfortable as possible.

Expanders.png

Expanders

Expanders are one of the best tools an orthodontist has to influence and direct the growth of the jaw bones. Childhood is the ideal time to consider this treatment as all the structures of the facial skeleton are interconnected and it is paramount for all to develop in a balanced and harmonious direction.

Braces - 3 Single.png

Braces, Phase 1

In young children, we might use braces for a very limited period of time. They are often used in conjunction with other orthodontic appliances (e.g. Expanders) and can boost the effect and shorten treatment duration. While we are waiting for all the permanent teeth to come through, we will be seeing your child for regular review appointments.

Braces.jpg

Braces, Phase 2

Once all the permanent teeth have erupted (11 to 13 years) we will re-evaluate your child’s need for comprehensive orthodontic treatment to finalise fine tuning his/her smile and bite. Braces will be placed on all teeth. Treatment duration and procedures are similar to Adult Orthodontics.

Functional Appliances.png

Functional Appliances

In young children and in very well selected cases, we can use Functional Appliances. This type of orthodontic appliances works on both upper and lower teeth at the same time and it can be either removable or fixed to the teeth. The appliances are used to guide the jaws and the teeth into a correct position. The results depend on the difficulty of each case, patient cooperation and the natural growth potential of each patient.

Retainers.jpg

Retention

Upon the completion of the orthodontic treatment, we will provide your child with a retainer that should be worn in periods through the day or at night. Depending on the complexity and the type of treatment we have performed, we will be individualising the wear time and design of the retainer.